Dr. Dominic Prestipino, D.D.S.
Dr. John D. Sohonage, D.D.S.
Dr. Matthew Yarmoksy, D.D.S

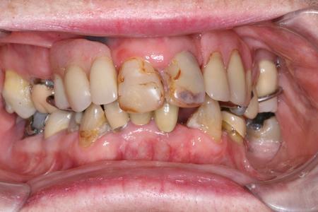
Full Mouth Reconstruction

For this patient, we did a full mouth reconstruction. All teeth on the lower were crowned, crowns on the upper with a new partial denture were done to correct the patient's bite. Implants were considered and planned. However, the patient found they were happy with the temporary dentures, and decided not to proceed with implants. The treatment plan was then changed and we were able to get a great final result.

Visit our dentist office in Rehoboth Beach, DE. To schedule an appointment, call us at (302) 226-7960.

Have Questions? Get in Touch
If you have difficulty using our website, please email us or call us at (302) 226-7960