Dr. Dominic Prestipino, D.D.S.
Dr. John D. Sohonage, D.D.S.
Dr. Matthew Yarmoksy, D.D.S

Smile Gallery

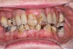
Are you unhappy with your smile and ready to make some changes? Take a look at these photos of actual Rehoboth Beach Dental patients and see what we can do for you. Call today to schedule an appointment with Dr. Leciejewski.

Not finding what you need?
If you have difficulty using our website, please email us or call us at (302) 226-7960
View the ADA Accessibility Statement